Die Hüftgelenkdysplasie, besser bekannt als HD, ist eine sehr häufig vorkommende Skeletterkrankung des Hundes. Es handelt sich um eine erblich bedingte Fehlentwicklung des Hüftgelenkes, die vorrangig bei großen Rassen vorkommt und teilweise bis zur Hälfte aller Hunde einer Rasse betrifft.
Die Erblichkeit der Erkrankung liegt je nach Rasse bei 20 bis 40%. Viele Zuchtverbände fordern für die Zuchtzulassung eines Hundes spezielle Untersuchungen auf HD-Freiheit ein, um das Vorkommen der Erkrankung zu reduzieren. Neben der erblichen Komponente spielen bei der Entstehung der HD noch viele weitere Faktoren eine Rolle. Fehlerhafte Ernährung und Überbelastung des Bewegungsapparats während der Wachstumsphase des Hundes können sich begünstigend auf die Krankheit auswirken.
Erkrankte Hunde fallen meist zuerst durch eine plötzliche Lahmheit, verminderte Aktivität oder Schwierigkeiten beim Aufstehen auf. Wird die Erkrankung nicht bereits im Welpenalter diagnostiziert, kann es durch die Kräftigung von Bindegewebe, Sehnen und Muskulatur zwischenzeitlich zu einer vermeintlichen Besserung der Symptome kommen. Die Instabilität der Hüftgelenke bleibt jedoch bestehen und führt im weiteren Verlauf zur Ausbildung einer Arthrose, die dem Hund im Erwachsenenalter erneut Schmerzen bereitet. Im fortgeschrittenen Stadium der Hüftarthrose leidet der Hund unter starken Bewegungseinschränkungen, Schmerzen, Lahmheiten und Muskelschwund an der Hinterhand.
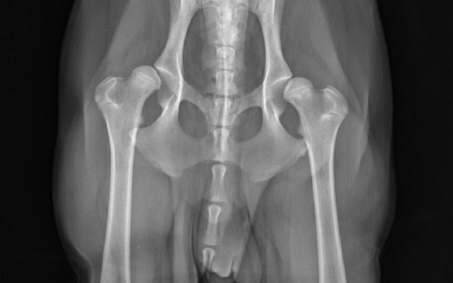
Dein/e Tierärzt:in kann anhand deines Vorberichts und einer eingehenden orthopädischen Untersuchung schon deutliche Hinweise auf das Vorliegen einer HD erhalten. Durch verschiedene passive Mobilitäts-Tests kann er/sie Schmerzhaftigkeit, Instabilität oder Bewegungseinschränkungen des Hüftgelenks feststellen. Der Verdacht einer HD kann allerdings nur mit Hilfe von Röntgenbildern eindeutig bestätigt werden. Um den exakten Grad der HD zu bestimmen, muss dein Hund ausgewachsen sein, da die Entwicklung des Hüftgelenks erst mit dem Ende des Knochenwachstums abgeschlossen ist.
Die von den verschiedenen Zuchtverbänden geforderten Röntgenaufnahmen dürfen daher erst ab einem bestimmten Mindestalter und nur nach speziellen Lagerungs- und Belichtungskriterien durchgeführt werden. Des Weiteren muss dein Hund für die Anfertigung offizieller Aufnahmen in Narkose gelegt werden. Werden die Aufnahmen nur zur Abklärung einer Lahmheit benötigt, ist dies zwar nicht vorgeschrieben, aber häufig auch notwendig und sinnvoll, um auswertbare Röntgenbilder zu erhalten.
Entsprechend der unterschiedlichen Ausprägung der HD stehen verschiedene Behandlungsmöglichkeiten zur Verfügung. Kontaktiere beim Vorliegen erster Symptome umgehend deine/n Tierärzt:in, um frühzeitig eine Diagnose zu erhalten und das Fortschreiten der Erkrankung einzudämmen. Die Behandlung schließt schmerzstillende und entzündungshemmende Medikamente in Kombination mit physiotherapeutischen Maßnahmen ein.
In Abhängigkeit vom Schweregrad der HD bestehen verschiedene Möglichkeiten, sie operativ zu behandeln. Eine bei jungen Hunden angewandte Methode ist die operative Umstellung der Gelenkpfanne. Diese zielt darauf ab, den Oberschenkel-Kopf besser aufzunehmen. Dagegen kann beim älteren Hund, ähnlich wie beim Menschen ein komplett künstliches Hüftgelenk eingesetzt werden (TEP=Totale Endoprothese, Gelenkersatz). Diese Maßnahme ist zwar sehr kostenintensiv, führt in der Regel aber zu einer lebenslangen Beschwerdefreiheit. Eine weitere Methode ist die operative Entfernung des Gelenkkopfes des Oberschenkelknochens ohne Einsatz einer Prothese. In Folge dieser Operation bildet das Bindegewebe eine neue Verbindung zwischen Hüfte und Oberschenkelknochen, die aber nicht einer Gelenkverbindung gleich ist. Sie bedeutet eine deutliche Funktionseinschränkung, bietet deinem Hund jedoch noch eine angemessene Lebensqualität.
Die Aussichten auf eine Heilung sind bei der HD sehr unterschiedlich. Bei gering ausgeprägter HD kann mit einer entsprechenden Behandlung ein guter Erfolg erzielt werden. Bei schweren Formen von HD sind die Aussichten auf eine komplette Heilung eher schlecht. Hier geht es vorrangig darum, deinem Hund die Schmerzen zu nehmen und ein einigermaßen erträgliches Leben zu ermöglichen.
Durch die erwähnten Zuchtuntersuchungen, die die verschiedenen Zuchtverbände ähnlich wie bei der Ellenbogengelenkdsyplasie (=ED, siehe entsprechender Artikel) vorschreiben, leisten Züchter schon einen großen Beitrag zu einer verringerten Ausbreitung der Erkrankung. Da jedoch auch die Ernährung einen großen Einfluss auf die Entwicklung einer HD hat, kannst du mit einem individuell angepassten Ernährungskonzept mit abgestimmtem Energie- und Proteingehalt insbesondere in der Wachstumsphase einer Entstehung von Gelenkbeschwerden vorbeugen.
Das EKG ist ein Messgerät, das zur Diagnostik von Herzerkrankungen eingesetzt wird. Es misst die elektrischen Impulse, die durch die Aktivität des Herzens ausgesandt werden.
Das Plattenepithelkarzinom ist ein bösartiger Hauttumor, der bei der Katze vor allem in der Maulhöhle und im Bereich der Ohren und der Nase vorkommt. Ausgehend von der obersten Haut- und Schleimhautschicht, dem Plattenepithel, breitet sich dieser Tumor sehr schnell und aggressiv aus. Katzen aller Rassen und Altersstufen können betroffen sein, wobei hauptsächlich ältere Katzen erkranken.
Beim Hund reißt wie bei uns Menschen sehr häufig das vordere Kreuzband. Dieses feste Band verbindet im Kniegelenk den Oberschenkelknochen mit dem Schienbein und verhindert ein Überstrecken oder Verdrehen des Knies. Während der Kreuzbandriss beim Menschen jedoch meist traumatischer Natur ist (durch Sportunfälle jeglicher Art), kommt es beim Hund über einen längeren Zeitraum zu einer schrittweisen Auflösung des Bandes (Degeneration).
Was verbirgt sich hinter diesem fast unaussprechlichen Namen? Die Hyperkaliämische Periodische Paralyse ist eine erblich bedingte, unheilbare Stoffwechselkrankheit, die vorrangig Quarter Horses, Paint Horses und Appaloosas betrifft, deren Blutlinien alle auf den Quarter Horse Hengst “Impressive” zurückgehen.
Die Gastroenterologie ist der Teilbereich der Inneren Medizin, der sich mit der Diagnostik und Behandlung von Erkrankungen des Magen-Darm-Trakts befasst. Zu diesem gehören auch die Bauchspeicheldrüse, Leber und Gallenblase.
Die Schilddrüsenunterfunktion, im medizinischen als Hypothyreose bezeichnet, gehört zu den häufigsten Hormonstörungen des Hundes. Es sind vor allem mittelalte bis alte Hunde betroffen, wobei Golden Retriever, Dobermann, Boxer und Beagle eine besondere Anfälligkeit aufweisen.
Auch wenn diese Erkrankung wegen der ähnlichen Symptomatik umgangssprachlich oft als Schlaganfall des Hundes bezeichnet wird, handelt es sich hierbei nicht wie beim Menschen um eine Durchblutungsstörung des Gehirns, sondern um eine Störung des Gleichgewichtsorgans, das sich im Innenohr des Hundes befindet.
Nicht selten kommt es bei Hunden als auch Katzen zur Pankreatitis (=Entzündung der Bauchspeicheldrüse), die sehr schmerzhaft ist und schnell lebensbedrohlich werden kann.
Die Ellenbogengelenkdysplasie beschreibt einen Krankheitskomplex erblich bedingter Entwicklungsstörungen des Ellenbogengelenks. Sie tritt vor allem während der Wachstumsphase schnellwüchsiger, großer Hunderassen auf und führt zu unterschiedlich stark ausgeprägten Lahmheiten.
Tumore der Maulhöhle können sowohl beim Hund als auch bei der Katze auftreten. Beim Hund ist etwa die Hälfte dieser Tumore bösartig, bei der Katze leider bis zu 90%. Aufgrund der schlechten Einsehbarkeit der Maulhöhle werden sie häufig erst sehr spät entdeckt.
Unter einer Parodontitis versteht man die Entzündung des Zahnhalteapparats, die bei Hunden die häufigste Erkrankung der Maulhöhle darstellt. Ab einem Alter von fünf Jahren kann bei bereits mehr als dreiviertel aller Hunde eine Parodontitis festgestellt werden. Die Erkrankung kann unbehandelt schwerwiegende Folgen für den gesamten Organismus haben.
Der Versuch einer Katze durch ein gekipptes Fenster nach draußen zu gelangen, kann schwere gesundheitliche Schäden zur Folge haben. Meist schaffen die Katzen es noch mit dem Kopf und Oberkörper hindurch zu schlüpfen und bleiben dann jedoch mit dem Becken im schrägen Spalt stecken. Befreiungsversuche verschlimmern die Situation nur noch, so dass die Katze immer weiter nach unten in den Spalt rutscht und sich einklemmt. Die Folgen sind zum Teil schwere äußere und innere Verletzungen, die zusammengefasst als Kippfenster-Syndrom bezeichnet werden und nicht selten auch zum Tod der Katze führen können.