Die Sehnen gehören zum Halteapparat und sind die Bindeglieder zwischen der Muskulatur und dem Skelett. Sie bestehen aus starkem, flexiblem Gewebe, übertragen die Energie aus der Muskulatur auf die Knochen und ermöglichen so die gezielte Bewegung. Durch den speziellen Aufbau aus nebeneinander verlaufenden Bindegewebsfasern, die in Bündeln zusammengefasst sind, wird eine enorme Reißfestigkeit und zugleich Elastizität erreicht. Gerade die Beugesehnen der Vorderbeine sind beim Pferd extremen Belastungen ausgesetzt, da mehr als die Hälfte des Körpergewichts von der Vorhand getragen werden muss. Sehnenschäden gehören besonders bei Sportpferden zu den häufigsten Lahmheitsursachen. Die betroffenen Strukturen am Vorderbein sind in den meisten Fällen die oberflächliche Beugesehne, die tiefe Beugesehne, das Unterstützungsband und der Fesselträger (siehe Grafik). Da im Sehnengewebe nur sehr wenig Nerven und Blutgefäße verlaufen, erfolgt die Heilung nur sehr langsam.
Unterhalb des Vorderfußwurzelgelenkes verlaufen auf der Rückseite des Röhrbeins der Fesselträger, die oberflächliche und die tiefe Beugesehne. Am aufgehobenen Bein können die drei Strukturen als weiche, verschiebliche Stränge unter der Haut gefühlt werden.
Der Fesselträger ist ein sehnig-bandartiger Strang mit einem gewissen Anteil an Muskelfasern, der seinen Ursprung an der Rückseite des Vorderfußwurzelgelenkes und des oberen Endes des Röhrbeins hat und dann zwischen den Griffelbeinen an der Hinterseite nach unten verläuft. Oberhalb der beiden Gleichbeine teil er sich in zwei Anteile, die jeweils über die Gleichbeine hinweglaufen, um sich auf der Vorderseite mit der Strecksehne zu verbinden. Der Fesselträger dient der Fixierung des Fesselgelenkes im Stand und gehört zusammen mit den Gleichbeinen und Gleichbeinbändern zum sogenannten Fesseltrageapparat.
Die tiefe Beugesehne mit ihrem Unterstützungsband liegt zwischen Fesselträger und oberflächlicher Beugesehne und zieht von der Rückseite des Vorderfußwurzelgelenks über die Rückseite des Röhrbeins bis zum Hufbein. Die oberflächliche Beugesehne ummantelt die tiefe Beugesehne und verläuft über die Gleichbeine hinweg, um am Kronbein anzusetzen.
Die Entstehung von Sehnenschäden wird immer durch verschiedene Faktoren bestimmt. Eine große Rolle spielt die Beanspruchung der Sehnen durch die Verwendung des Pferdes in unterschiedlichen reitsportlichen Disziplinen. Verschleiß und Überbelastung können zu Schädigungen des Sehnengewebes führen, insbesondere wenn zu schnell mit zu starker Arbeit begonnen wird und Aufwärmphasen vernachlässigt werden. Tiefer, unebener Boden und auch Muskelermüdung kann durch die folgende Inkoordination zu Sehnenschäden führen. Weitere begünstigende Faktoren sind Fehlstellungen der Gliedmaßen, ungünstige Hufformen, Übergewicht und Fehler in der Fütterung oder Aufzucht. Über petsXL Gesundheitspass kannst du die Gewichtsdaten deines Pferdes übersichtlich speichern und kontrollieren.
Es wird vermutet, dass der eigentlichen Sehnenentzündung eine Vorschädigung der Sehne in Form einer Minderdurchblutung voraus geht, die durch die bei Belastung ebenfalls stark gestreckten Blutgefäße verursacht wird. Die Sehnenentzündung, auch Tendinitis genannt entsteht durch Zerreißungen kleiner oder größerer Fasern oder ganzer Faserbündel der Sehne. Da dadurch auch Blut- und Lymphgefäße zerreißen, kommt es zu Blutungen in die gesunden Bereiche, wobei weitere Sehnenfasern geschädigt werden. Im weiteren Verlauf entstehen Flüssigkeitsansammlungen und der erkrankte Bereich verdickt sich, was auch äußerlich sichtbar wird. Durch die unterbrochene Blutversorgung und die Freisetzung von Enzymen kann es zu einer weiteren Schädigung des Gewebes kommen. Im Bereich der Läsion wird ein unelastisches Ersatzgewebe gebildet, das weitaus schlechtere Eigenschaften als das eigentliche Sehnengewebe aufweist.
Man unterscheidet hierbei aseptische (=nicht infizierte), akute und chronische Entzündungen. Weiterhin werden Defekte einzelner Fasern, der Faserbündel, partielle und totale Defekte unterschieden.
Im Fall der akuten Sehnenentzündung tritt je nach Schweregrad der Schädigung eine mittel- bis hochgradige Lahmheit auf. Der erkrankte Bereich ist vermehrt warm, deutlich schmerzhaft und anfangs eher diffus geschwollen. Am Fesselgelenk kann die verstärkte Pulsation der Mittelfußarterie ertastet werden. Bei großflächigen oder totalen Zerreißungen zeigt sich eine starke Durchtrittigkeit im Fesselgelenk und die betroffene Gliedmaße wird häufig entlastet.
Chronische Entzündungen der oberflächlichen Beugesehne gehen meist nur mit einer geringgradigen oder gar keiner Lahmheit einher. Schmerzhaftigkeit und Wärme sind meist nicht mehr feststellbar. Die Bildung des Ersatzgewebes führt zu einer Formveränderung der Sehne. Sie zeigt im Profil keinen geraden Verlauf mehr, sondern einen gebogenen. Diese Erscheinung wird daher auch als Bogen, Wade oder auch Banane bezeichnet. Durch die nur bedingte Elastizität des Narbengewebes kann es erneut zu Faserrissen kommen, die aus einer chronischen dann wieder eine akute Entzündung machen können.
Defekte der tiefen Beugesehne zeigen ähnliche Symptome, wegen ihrer tieferen Lage ist jedoch meist keine Schwellung von außen sichtbar. Chronische Entzündungen der tiefen Beugesehne können eine Umformung des Hufes nach sich ziehen. Das im Defekt entstandene Narbengewebe führt zu einer verminderten Elastizität der tiefen Beugesehne, wodurch ein verstärkter Zug am Ansatz der Sehne auf das Hufbein entsteht. Die Hufform wird stumpfer und es bildet sich ein sogenannter Bockhuf.
Bei Erkrankungen des Fesselträgers können ganz unterschiedliche Symptome auftreten. Einige Pferde zeigen eine Lahmheit mit klassischen Entzündungssymptomen wie Schwellung, Wärme und Schmerzhaftigkeit, andere wiederum zeigen eine nur geringgradige Lahmheit ohne jegliche Schwellung des betroffenen Beines. Die akkurate Diagnostik ist daher in diesem Bereich besonders wichtig.
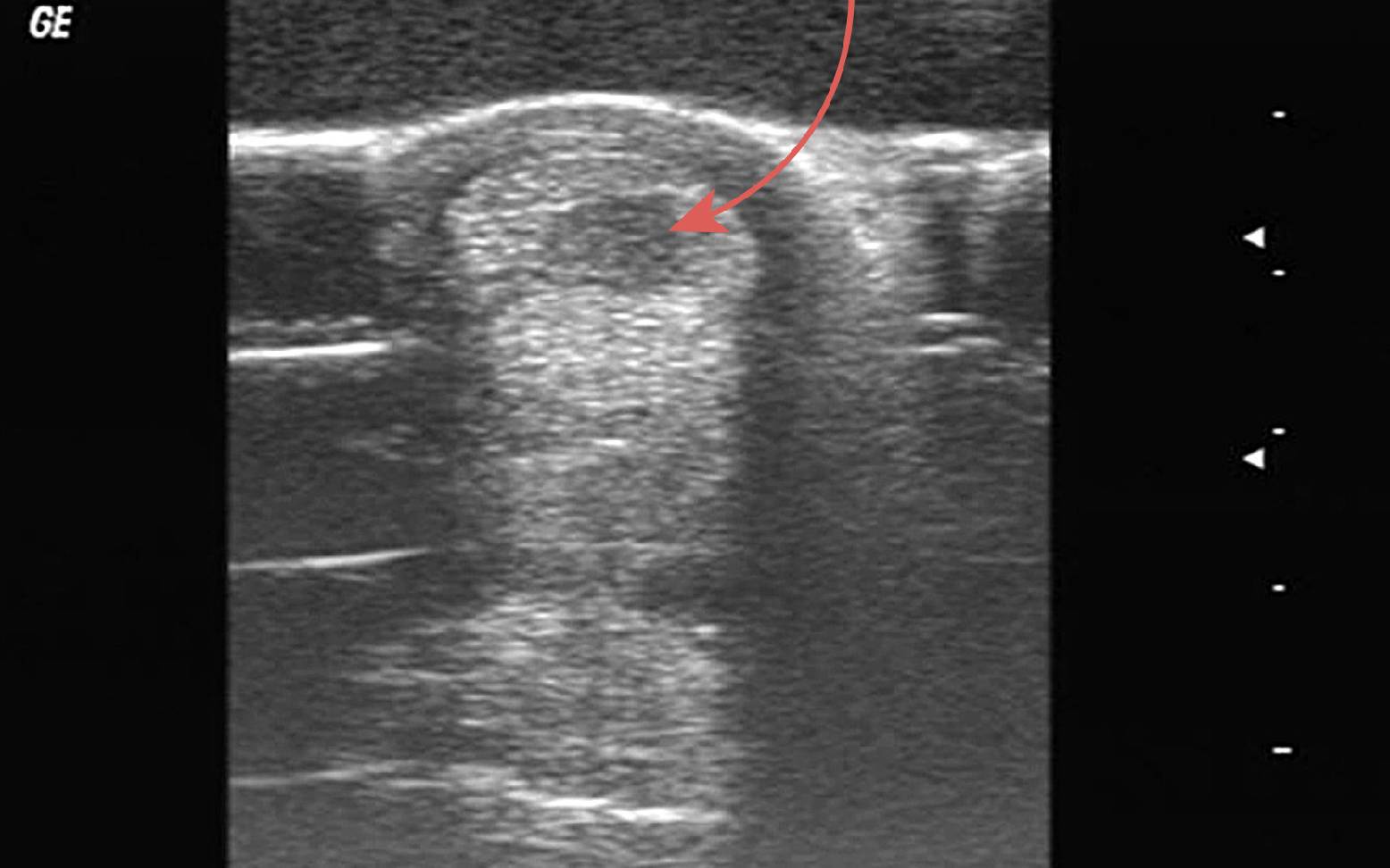
Bei Vorliegen obiger Symptome muss immer umgehend eine tierärztliche Untersuchung erfolgen, um zu verhindern, dass das Gewebe durch weitere Belastung zusätzlich geschädigt wird. Durch die Lahmheitsuntersuchung und Feststellung der Symptome alleine kann der Tierarzt jedoch noch keine sichere Diagnose stellen. Nur mit Hilfe einer Ultraschalluntersuchung ist ein Sehnendefekt zu diagnostizieren und exakt zu lokalisieren.
Sind trotz Lahmheit keinerlei Schwellungen zu erkennen kann der Tierarzt mit Hilfe von Leitungsanästhesien (=lokales Umspritzen von Nerven) die Lage der Schädigung besser eingrenzen. Bei Fesselträgerschäden sollten immer auch Röntgenaufnahmen erstellt werden, da Fesselträgerentzündungen unter anderem auch durch Griffelbeinbrüche verursacht werden können und Veränderungen am Fesselträgerursprung häufig auch auf einem Röntgenbild zu erkennen sind.
Die wichtigste Maßnahme im Rahmen der Behandlung von Sehnenerkrankungen ist die Ruhigstellung. Durch den langsamen Heilungsverlauf ergeben sich je nach Größe des Defektes unterschiedlich lange Schonzeiten.
In der akuten Entzündungsphase kommen entzündungshemmende Medikamente und kühlende Verbände zum Einsatz. Nach Abschluss dieser Phase werden wärmende Verbände angelegt, um die Durchblutung und die Resorption zu verbessern. Eine weitere Behandlungsmethode mit erfolgversprechender Wirkung ist die lokale Injektion bestimmter Medikamente direkt in die geschädigte Sehne.
Mit Hilfe regelmäßiger Ultraschalluntersuchungen kann der Heilungsprozess begleitet und überwacht werden und je nach Ultraschallbefund wird tierärztlich entschieden, wann wieder mit kontrollierter Bewegung begonnen werden kann. Die Einhaltung eines genau auf das betreffende Pferd und den Umfang des jeweiligen Schadens abgestimmten Bewegungsplans ist mindestens genauso wichtig wie die eigentliche Therapie, denn nur so erlangt die regenerierte Sehne ein Höchstmaß an Belastbarkeit zurück.
Aufgrund des gebildeten Narbengewebes, welches in seiner Qualität nicht mit dem eigentlichen Sehnengewebe zu vergleichen ist, kann die ursprüngliche Belastbarkeit nicht immer wieder vollständig hergestellt werden. Viele erkrankte Pferde können mit Hilfe einer genau abgestimmten Therapie und dem entsprechenden Bewegungskonzept wieder im Sport eingesetzt werden, wenn auch alle begleitenden Umstände erkannt und angepasst werden, wie etwa tiefe Böden, Hufform oder Fehlstellungen. Je nach Ausmaß und Schwere der Schädigung, Alter und Nutzungszweck des Pferdes können die Heilungsaussichten variieren.
Im Allgemeinen haben Sehnenverletzungen einen langen Heilungsverlauf von ungefähr 4 bis 12 Monaten.
Ist die Katze rollig, kann das für die Menschen, bei denen sie lebt, schon mal anstrengend werden, denn die Samtpfote wird sich schlagartig völlig verändert zeigen. Der gelebte Instinkt zur Paarungsbereitschaft macht ihr selbst aber auch zu schaffen.
Bei der Szintigrafie können mithilfe von schwach radioaktiv markierten Substanzen krankhafte Veränderungen im Körper sichtbar gemacht werden. Das dabei erzeugte Bild heißt Szintigramm.
Sowohl beim Kaninchen als auch beim Meerschweinchen gehören Zahnerkrankungen zu den häufigsten Vorstellungsgründen in der Tierarztpraxis. Da ihre Zähne lebenslang nachwachsen, in ihrer heutigen Haltung jedoch nicht ausreichend abgenutzt werden, kommt es häufig zu krankhaften Veränderungen an den Zähnen.
Unter einer Synkope wird ein Ohnmachtsanfall oder Kreislaufkollaps verstanden, der ohne vorherige Anzeichen plötzlich auftritt und zu einem vorübergehendem Bewusstseinsverlust beim Tier führt. Der Hund bricht urplötzlich zusammen und zeigt keine Reaktion mehr. Nach kurzer Zeit kommt er wieder zu sich und verhält sich wie vor der Synkope.
Ein Thema, über das viele Pferdebesitzer nicht so gerne nachdenken, ist, dass Pferde hin und wieder transportiert werden müssen. Dabei ist es wichtig, darauf vorbereitet zu sein und das Verladen und Transportieren unseres Pferdes tatsächlich vorab zu üben. Denn wenn es plötzlich heißt „das Pferd muss auf den Pferdeanhänger“, kann sich so manches Tier widerspenstiger anstellen als gedacht. Verladen und Transport bedeutet ein gewisses Maß an Stress für unsere Pferde. Selbst die Profis unter diesen Pferden, die so manches Wochenende zum Turnier reisen, werden eine gewisse Anspannung zeigen. Aber der Transport ist Übungssache, je mehr wir es zur Routine werden lassen, umso einfacher wird es für das Pferd. Um ein Pferd von A nach B zu bringen, müssen für eine gute Reise selbstverständlich Zugfahrzeug und Pferdeanhänger kompatibel und die technischen Bedingungen erfüllt sein. Sehr wichtig ist auch, dass der Equidenpass des Pferdes mitgeführt wird.
Das Hundebaby ist eingezogen und die Freude darüber sehr groß! Eine aufregende Zeit, in der dein neues Familienmitglied eine Menge zu entdecken und zu lernen hat. Natürlich bist auch du als Hunde-Neubesitzer gefordert, für einen guten Start in eine glückliche, gemeinsame Zukunft zu sorgen. Eine der wichtigsten Aufgaben: dein Hund soll schnellstmöglich stubenrein werden.
Diese medizinisch korrekt als Fohlenseptikämie bezeichnete und häufig tödlich verlaufende Infektionskrankheit betrifft neugeborene Fohlen bis zu einem Alter von 4 Wochen. Die Krankheitserreger gelangen auf unterschiedlichen Wegen in den Blutkreislauf und können sich so im gesamten Organismus verbreiten. Am häufigsten manifestiert sich die Erkrankung jedoch in den Gelenken, weshalb sie umgangssprachlich unter dem Namen Fohlenlähme bekannt ist.
Hunde und Katzen können aus verschiedenen Gründen erblinden. Für unsere geliebten Vierbeiner bedeutet das jedoch keinesfalls „das Ende“. Gerade Hunde und Katzen, die mit uns Menschen zusammenleben, können den Verlust des Sehvermögens sehr gut durch andere Sinne kompensieren und weiterhin ein fast normales Leben führen.
Neubildungen an der Milchdrüse stellen mehr als die Hälfte aller Krebserkrankungen bei der Hündin dar. Vor allem bei älteren, unkastrierten Hündinnen treten diese gut- oder bösartigen Tumoren auf, die sich in Form von anfangs kleinen, später zum Teil sehr großen knotigen Veränderungen an der gesamten Milchleiste zeigen. Es können unterschiedliche Arten von Gesäugetumoren auftreten.
Die meisten Pferdebesitzer kennen inzwischen das Cushing Syndrom und dessen Symptome beim Pferd. Eine Erkrankung mit sehr ähnlicher Symptomatik ist das Equine Metabolische Syndrom (=EMS). Im frühen Stadium wird daher es oft mit dem Equinen Cushing Syndrom verwechselt. Doch was macht nun den Unterschied aus?
Die Toxoplasmose ist eine primär Katzen betreffende Infektionskrankheit, die jedoch auch auf den Menschen übertragen werden kann, weswegen sie als Zoonose bezeichnet wird. Der Mensch gilt hier als Zwischenwirt, wobei meist gar keine klinischen Symptome auftreten müssen. Wirklich gefährlich wird es erst, wenn schwangere Frauen erstmals mit Toxoplasmen in Kontakt kommen und sich das Ungeborene mit dem Erreger infiziert.
Wie bei uns Menschen kann sich auch das Lungengewebe des Hundes entzünden. Eine solche medizinisch als Pneumonie bezeichnete Lungenentzündung ist auch beim Hund eine ernstzunehmende Erkrankung, die unbehandelt zum Tod des Tieres führen kann.